Opublikowany przez:
ULA
2011-10-14 09:35:38
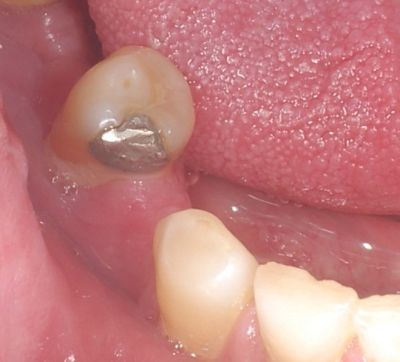
Autor zdjęcia/źródło: Rycina 1. Wypełnienie amalgamatowe zęba drugiego przedtrzonowego w żuchwie (fot. W. Bereziewicz)
Ze względu na skład amalgamaty dzielą się na konwencjonalne z fazą gamma 2 (niskomiedziowe) i wolne od fazy gamma 2 (wysokosrebrowe, niskosrebrowe). Te pierwsze to amalgamaty srebrowo-cynowe.3 Cząsteczki tego stopu po połączeniu się z rtęcią tworzą fazę srebrowo-rtęciową (gamma 1), a potem cynowo-rtęciową (gamma 2) i srebrowo-cynową.3 Natomiast amalgamaty wysokosrebrowe wolne od fazy gamma 2 zawierają 70% srebra, 18% cyny i 12% miedzi, niskosrebrowe wolne od fazy gamma 2 zawierają 60% srebra, 28% cyny i 11 13% miedzi, a wysokomiedziowe wolne od fazy gamma 2 zawierają 41 50% srebra, 27 31% cyny i 29 39% miedzi.3
Wg zaleceń American Dental Association, Federation Dentaire Internationale i International Standard Organization konwencjonalny amalgamat powinien mieć następujący skład: srebro 65%, cyna 29%, miedź 6%, cynk 2% i rtęć 3%.3 W badaniach wykazano, że w ciągu 9 dni po wypełnieniu amalgamatem wysokomiedziowym wolnym od fazy gamma 2 we krwi i moczu badanych pacjentów nie ma nawet śladu rtęci niezależnie od liczby założonych wypełnień.3 Ulepszone amalgamaty bez fazy gamma 2 zawierające do 30% miedzi są uznane za bezpieczne.3
Zgodnie z prawem Rebla zaleca się, by nie przekraczać liczby 7 wypełnień średniej wielkości u jednego pacjenta. Mimo że przeciętna absorpcja rtęci u pacjentów z wypełnieniami amalgamatowymi wynosi 1-2 µg w ciągu 24 godzin jest to zaledwie 10% normalnego spożycia codziennego rtęci z pożywienia, powietrza i wody (L.E. Nyman).3

Z powyższej tabeli wynika, że żadnego z tych materiałów (kompozytu, amalgamatu, porcelany) nie można porównać ze szkliwem tak, aby uzyskać idealną zgodność materiałów ze wszystkimi 5 cechami fizycznymi. Amalgamaty charakteryzują się jednak większą twardością i odpornością na ściskanie oraz wyższym modułem zgięciowo-zgięciowym niż materiały kompozytowe (stosowane do wypełnień estetycznych) oraz mniejszym współczynnikiem rozszerzalności cieplnej.
Duża wytrzymałość mechaniczna i stosunkowo mniejsza wrażliwość amalgamatów na wilgoć tłumaczy ich powszechne stosowanie jako materiał do wypełnień ubytków w zębach bocznych mlecznych i stałych.1 W piśmiennictwie podaje się, że miejscowa reakcja na rtęć stanowiącą składnik wypełnień amalgamatowych może spowodować odczyny liszajowe w jamie ustnej.2
Jedynym przeciwwskazaniem do zastosowania wypełnień amalgamatowych jest ciąża.3 Amerykańscy badacze (Mackert i wsp., 1991 r.), porównując dwie grupy osób z wypełnieniami amalgamatowymi i bez nich, stwierdzili, że wypełnienia amalgamatowe nie mają żadnego ujemnego wpływu na układ odpornościowy.3 Obecnie nie ma niepodważalnych dowodów na związek między wypełnieniami amalgamatowymi, a chorobami ogólnoustrojowymi.2-4
Opracowanie: Medycyna Praktyczna - Lekarze pacjentom
lek. stom. Wioletta Bereziewicz
Zakład Epidemiologii i Badań Populacyjnych IZP CMUJ w Krakowie
Zakład Stomatologii Zintegrowanej IS CMUJ w Krakowie
Europejskie Centrum Profilaktyki w Krakowie
Piśmiennictwo
1. Szpringer-Nodzak M., Wochna-Sobańska M.: Stomatologia wieku rozwojowego. Wyd. 4, Wydaw. Lekarskie, Warszawa 2007: 418 419
2. Lamey P.J., Lewis M.A.: Choroby jamy ustnej w ogólnej praktyce stomatologicznej. Wyd. 1, tłum. i red. Kaczmarek U., Wydaw. Medyczne Sanmedica, Warszawa 1995: 41 61
3. Jańczuk Z.: Stomatologia zachowawcza – zarys kliniczny. Podręcznik dla studentów stomatologii. Wyd. 3 rozszerzone, Wydaw. Lekarskie PZWL, Warszawa 2008: 83 88
4. Felton A., Chapman A., Felton S.: Zdrowie jamy ustnej. Edukacja i promocja. Wyd. 1, Wydaw. Lekarskie PZWL, Warszawa 2011
Pokaż wszystkie artykuły tego autora
188.146.*.*
2019.01.02 12:07
co jesli prawo rebla jest łamane? tzn nikt mi nie powiedzial ze moze byc 7 sztuk i teraz mam 13. czy moge ubiegac sie o jakies odszkodowanie?
37.248.*.*
2014.10.10 20:23
Co zrobić, jeżeli połknęłam plombę rtęciową? Proszę o pomoc
apis74
2011.10.14 19:51
A ja myślałam, że takich wypełnień już się nie stosuje!!! - że to jest relikt lat 80-tych XX wieku.
Nie masz konta? Zaloguj się, aby pisać swoje własne artykuły.
Nie masz jeszcze konta na familie.pl?
Załóż je już teraz!