 Opublikowany przez:
                              
              
                                  ULA                
                              
              
              
                              
                  2011-10-12 09:01:02
                
              
              Opublikowany przez:
                              
              
                                  ULA                
                              
              
              
                              
                  2011-10-12 09:01:02                
              
                              
                   
                
              
                          
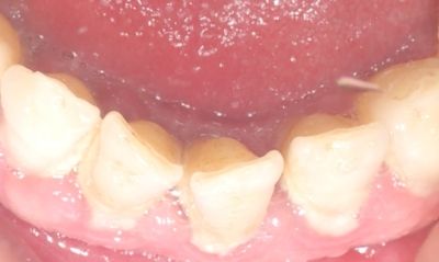
Autor zdjęcia/źródło: Rycina. Złogi naddziąsłowego kamienia nazębnego i zapalenie dziąseł (fot. W. Bereziewicz)
Kamień nazębny powstaje w wyniku mineralizacji płytki zlokalizowanej w okolicy zęba.1 Płytka nazębna jest produktem bakteryjnym, ale oprócz bakterii zawiera resztki pokarmowe, komórki nabłonka i śluz, zwykle tworzy się w czasie krótszym niż 24 godziny i nie można jej usunąć przez płukanie jamy ustnej.1
Pierwsze ogniska wapnienia w związku z obecnością soli mineralnych w ślinie pojawiają się w płytkach już po 6 godzinach, następnie zlewają się w blaszki i widoczne są w jamie ustnej zwykle po 3 dniach, wtedy powstaje kamień nazębny (ryc.). W skład kamienia nazębnego wchodzą: 70% sole nieorganiczne oraz 30% drobnoustroje i substancje organiczne.2
Wyróżnia się kamień nazębny: naddziąsłowy, który tworzy się powyżej brzegu dziąsła, oraz kamień poddziąsłowy, który powstaje w kieszonkach dziąsłowych.2 Złogi nazębne działają drażniąco na struktury przyzębia i przyczyniają się do rozwoju chorób przyzębia.
Choroby przyzębia, czyli tkanek otaczających ząb, prowadzą po pierwsze do ich miejscowej destrukcji i w efekcie do utraty zębów, po drugie do powstania ogólnoustrojowego stanu zapalnego o niewielkim nasileniu i jego następstw: miażdżycy, wzrostu ciśnienia tętniczego i glikemii, uszkodzenia nerek, zwiększenia masy lewej komory serca oraz częstości incydentów sercowo-naczyniowych i mogą doprowadzić nawet do zwiększenia śmiertelności.3 Dlatego tak ważna jest profilaktyka chorób przyzębia polegająca na prawidłowej higienie jamy ustnej oraz okresowe (co 6 miesięcy) wizyty u stomatologa.3
Do skutecznych sposobów oczyszczania uzębienia zaliczamy:
1) spożywanie pokarmów oczyszczających (tj. świeże owoce i warzywa, np. jabłka, marchew, rzodkiewka, seler, pomarańcze, ale też orzechy i chleb razowy)
2) szczotkowanie zębów (minimum dwa razy dziennie: rano i wieczorem)
3) płukanie jamy ustnej (płynami o działaniu przeciwbakteryjnym)
4)    stosowanie dodatkowych przyborów higienicznych (tj. nici dentystyczne lub szczoteczki międzyzębowe do czyszczenia przestrzeni międzyzębowych).1
 
W ramach kontraktu z NFZ każdemu pacjentowi objętemu ubezpieczeniem zdrowotnym przysługuje raz w roku bezpłatne usunięcie złogów nazębnych wraz z instruktażem higieny jamy ustnej. Zabieg ten dotyczy wszystkich zębów w szczęce i żuchwie.
Opracowanie: Medycyna Praktyczna - Lekarze pacjentom
Lek. stom. Wioletta Bereziewicz
Zakład Epidemiologii i Badań Populacyjnych IZP UJCM w Krakowie
Zakład Stomatologii Zintegrowanej IS UJCM w Krakowie
Europejskie Centrum Profilaktyki w Krakowie
Piśmiennictwo:
1.    Felton A., Chapman A., Felton S.: Zdrowie jamy ustnej. Edukacja i promocja. Wydawnictwo Lekarskie PZWL, Wyd. I, Warszawa 2011; str.34–39
2.    Franek E., Górska R.: Choroby przyzębia a układ sercowo-naczyniowy - kliniczna interpretacja badania stomatologicznego. Choroby Serca i Naczyń 2009, tom 6; nr 3: str. 142–146
3.    Jańczuk Z.: Stomatologia zachowawcza – zarys kliniczny. Podręcznik dla studentów stomatologii. Wydawnictwo Lekarskie PZWL, Wyd. III rozszerzone, Warszawa 2008; str. 174
Pokaż wszystkie artykuły tego autora
					46.148.*.*
						
										2013.10.12 15:36										
						 
					
				
wchodząc do gabinetu bez logo nfz trzeba sie liczyć z płaceniem jak w sklepie.w gabinecie na nfz powinien każdy sie zapytać czy będzie to na nfz czy nie.
					37.47.*.*
						
										2012.03.21 13:40										
						 
					
				
Jeżeli podczas rejestracji nie poinformowano ,że zabieg ma zostać wykonany na NFZ to trzeba płacić. Zazwyczaj czeka się od 1miesiąca do 2 miesięcy na jakiekolwiek zabiegi stomatologiczne w ramach NFZ.
					62.152.*.*
						
										2012.03.15 19:29										
						 
					
				
Witam wracam właśnie od Pani stomatolog która ma gabinet w dolnośląskim a sama prywatny gabinet ma w lubuskim i tam mieszka. Problem jest taki że ściągałem w ramach NFZ kamień nazębny. Byłem przekonany że ta usługa jest bezpłatna. Okazuje się że za 10 minut pracy musiałem zapłacić 120 zł. O tym fakcie nie uprzedzono mnie przed zabiegiem tylko po. Czy tak powinno być. ' '' e-mail: arciniak7@gmail.com będę wdzięczny za odpowiedź. Marciniak
Nie masz konta? Zaloguj się, aby pisać swoje własne artykuły.
Nie masz jeszcze konta na familie.pl?
Załóż je już teraz!