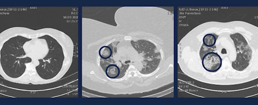
Rodzice uważajcie na siebie! Lekarz pokazał skany płuc młodych ludzi zarażonych koronawirusem - Artykuł

Znajdź nas na

Do góry

Chcesz być na bieżąco z Familie.pl?
zamknij
Dołącz do nas na Facebooku